Lưu trữ danh mục: Nha Khoa Kỹ Thuật Cao
Dịch vụ chỉnh nha trọn gói
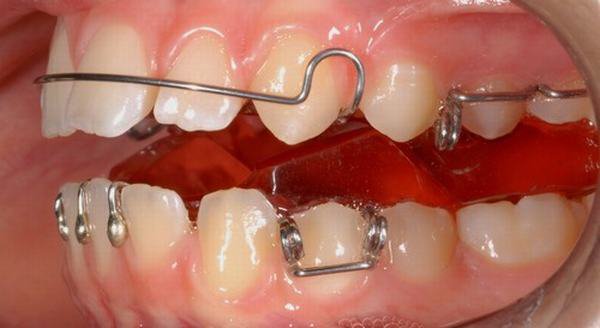
Chỉnh nha (niềng răng) là gì? Đây là một phương pháp nha khoa giúp
Dịch vụ răng sứ thẩm mỹ
Một nụ cười đẹp sẽ giúp bạn trở nên xinh đẹp, rạng rỡ hơn bất
- 1
- 2
Chỉnh nha (niềng răng) là gì? Đây là một phương pháp nha khoa giúp
Một nụ cười đẹp sẽ giúp bạn trở nên xinh đẹp, rạng rỡ hơn bất